الصحة تعلن نجاح عملية دقيقة لتغيير الصمام الرئوي بالقسطرة في أكاديمية قلب المبرة
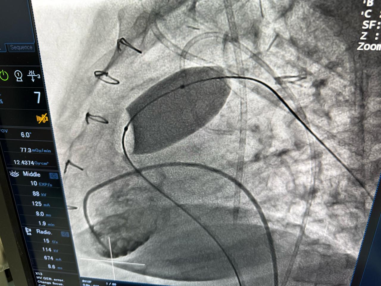
أعلنت وزارة الصحة والسكان، عن نجاح عملية دقيقة لتغيير الصمام الرئوي بالقسطرة لشابة تبلغ من العمر 23 عامًا، كانت تعاني من ارتجاع شديد بالصمام الرئوي نتيجة جراحة رباعي فالوت السابقة، وهو أحد أكثر العيوب الخلقية القلبية تعقيدًا.
نجاح عملية دقيقة لتغيير الصمام الرئوي بالقسطرة في أكاديمية قلب المبرة

وصرّح الدكتور حسام عبد الغفار، المتحدث الرسمي لوزارة الصحة والسكان، بأن العملية أُجريت باستخدام أحدث التقنيات العالمية داخل أكاديمية قلب المبرة، التابعة للمؤسسة العلاجية، على يد نخبة من الخبراء المصريين، مؤكدًا أن هذا الإجراء الطبي المتقدم، الذي تجاوزت تكلفته مليون جنيه، يعكس قدرة الفرق الطبية المصرية على تنفيذ أدق التدخلات القلبية وفق أعلى المعايير الدولية.

وأضاف أن هذا الإنجاز يأتي ضمن جهود المؤسسة العلاجية لتوفير أحدث التقنيات الطبية للمرضى المصريين، حيث توفر مستشفى مبرة مصر القديمة مجموعة من الخدمات المتقدمة، من بينها تغيير الصمام الأورطي بالقسطرة (التافي) بمعدلات نجاح عالمية، وعلاج العيوب الخلقية للقلب بالقسطرة، وتوسيع الصمام الميترالي بالبالون، ما يعكس التطور الكبير في تقنيات علاج أمراض القلب داخل مصر.
وجرت العملية تحت إشراف الدكتور محمد إبراهيم شقوير، رئيس المؤسسة العلاجية، والدكتور هشام الفخراني، مدير مستشفى مبرة مصر القديمة، وبقيادة فريق طبي متخصص برئاسة الدكتور محمد صبري، رئيس قسم القلب، والدكتور أحمد السواح، مدير وحدة القسطرة، والدكتور علي جلال، مدير وحدة الأمراض الخلقية.
تطبيق نبض