عاجل
الجمعة 19 ديسمبر 2025 الموافق 28 جمادى الثانية 1447
رئيس التحرير
عمرو الديب

ثورة طبية تنقذ الملايين: إنتاج خلايا البنكرياس دون متبرعين لعلاج نهائي للسكري النوع الأول!

تحيا مصر

أعلن فريق من العلماء عن اختراق طبي هائل يتمثل في إنتاج خلايا "الجُزُر البنكرياسية" المسؤولة عن إفراز الإنسولين، دون الحاجة إلى متبرعين
ما قد يُحدث ثورة في علاج السكري من النوع الأول، ويُمهد الطريق نحو شفاء دائم دون أدوية مثبطة للمناعة.

وذلك من خلال تطور علمي مبهر ، فقد أعلن فريق من العلماء في هولندا اختراعا طبي جديدا لإنتاج خلايا جزر البنكرياس من الخلايا الجذعيةكما تشارك فيرتكس الأمريكيه، بدورها في أبحاث متقدمه لتطوير هذا النوع من العلاج من خلال تطور علمي مبهر 
حيث تم تسجيل عمليات زرع ناجحه لخلايا جزر مشتقه من الخلايا الجذعيه

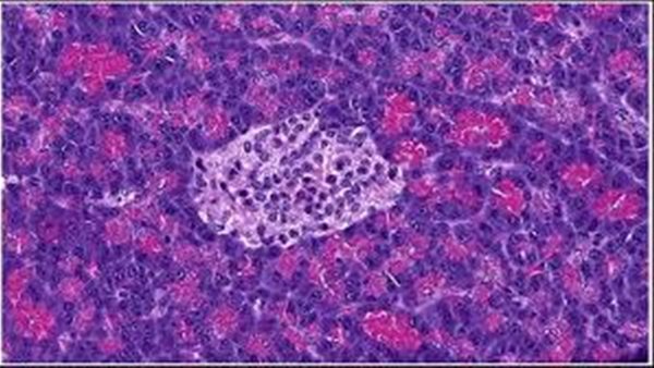
ما هي خلايا الجُزُر البنكرياسية؟

خلايا الجُزر (Islet cells) هي تجمعات صغيرة داخل البنكرياس، تحتوي على نوع من الخلايا يُعرف بـ"بيتا"، وهي المسؤولة عن إنتاج الإنسولين، الهرمون الحيوي الذي ينظم مستوى السكر في الدم. في مرضى السكري من النوع الأول، يقوم جهاز المناعة بتدمير هذه الخلايا، مما يؤدي إلى توقف الجسم عن إنتاج الإنسولين.

السكري من النوع الأول

السكري النوع الأول هو مرض مناعي ذاتي يصيب الأطفال والمراهقين غالبًا، وفيه يهاجم الجسم خلايا "بيتا" في البنكرياس
مرضي السكر من النوع الأول يحتاجون إلى حقن إنسولين مدى الحياة، ويواجهون خطر انخفاض أو ارتفاع السكر بشكل مفاجئ ومهدد للحياة.

التقنية الجديدة خلايا بديلة دون متبرعين أو أدوية مثبطة للمناعة..
في السابق، كانت زراعة خلايا الجزر تتطلب خلايا مأخوذة من بنكرياس متبرعين، إضافة إلى أدوية قوية لتثبيط المناعة. لكن التقنية الحديثة تعتمد على خلايا جذعية بشرية يتم برمجتها معمليًا لتتحول إلى خلايا بيتا منتجة للإنسولين
والأهم من ذلك، أن هذه الخلايا تتم زراعتها داخل كبسولات نانوية تحميها من هجوم الجهاز المناعي، مما يُغني عن استخدام مثبطات المناعة.

متى يرى هذا العلاج النور؟

بحسب تصريحات حديثة من شركة Vertex Pharmaceuticals الرائدة في هذا المجال، فإن التجارب السريرية قد دخلت مرحلة متقدمة في الولايات المتحدة، وأظهرت نتائج واعدة لدى عدد من المرضى. ويتوقع أن تتم الموافقة على الدواء خلال السنوات القليلة القادمة، مع احتمال طرحه بشكل واسع في الأسواق بين عامي 2026 و2028، إذا استمرت النتائج الإيجابية.

تأثير هذا الدواء على مرضى السكري النوع الأول
إذا أثبتت التجارب النهائية نجاح التقنية، فستكون المرة الأولى في تاريخ الطب التي يتم فيها استعادة إنتاج الإنسولين الطبيعي داخل الجسم بشكل دائم، مما يعني التخلص من الحقن اليومية، تقليل خطر المضاعفات، وتحسين جودة الحياة بشكل جذري. كما يفتح هذا الإنجاز الأبواب لعلاج أمراض مناعية أخرى بنفس الفكرة.

هل نحن امام تحول جذري في مستقبل أطفالنا؟

يقول الدكتور، أحمد الشناوى، أستاذ سكر الأطفال والغدد الصماء بجامعة القاهرة ، من خلال تصريحاته حول تقنيه زراعه خلايا الجزر دون متبرعين..
هذا انجاز علمي غير مسبوق ويمنحنا أملا حقيقي في تغيير شكل علاج السكري النوع الأول تماما ففكرة إنتاج خلايا منتجه للإنسولين لا ترفض من جهاز المناعة تعد بمثابة الشفاء الوظيفي إذا أثبتت التجارب  النهائية نجاحها فقد نشهد في غضون سنوات قليله توقف عدد كبير من الأطفال عن الاعتماد علي اخذ إنسولين خارجي نهائي

كما اضاف أن الخطوه القادمه مهمه في ضمان استمرار فاعلية هذه الخلايا علي المدي الطويل ولكننا بالتأكيد امام نقله نوعيه غير مسبوقه في علاج السكري النوع الأول

تابع موقع تحيا مصر علي